歯並び全体を整えながら、前歯のすき間を閉じる方法です。
正中離開(せいちゅうりかい)
とは?

正中離開とは、上の前歯2本(中切歯)の間にすき間が空いている状態のことをいいます。いわゆる「すきっ歯」の中でも、上顎前歯の真ん中にできるすき間を指す歯科用語です。
- 子どもから大人まで見られる
- 見た目が気になるという相談が多い
- 機能的な問題を伴うこともある
などの特徴があります。
正中離開が自然に治るケースについて
年齢によって対応が異なります。
子どもの場合
乳歯と永久歯が混在する混合歯列期では、一時的に正中離開が見られることがあります。この場合、
- 側切歯や犬歯が生えてくる
- 成長とともに歯列が整う
ことで、自然に閉じるケースも少なくありません。
大人の場合
永久歯がすべて生えそろった後の正中離開は、自然に治ることはほぼありません。見た目や噛み合わせが気になる場合は、歯科医院での治療が必要になります。
上顎前歯の正中離開が起こる
主な原因

上唇小帯(じょうしんしょうたい)の位置異常
上唇の裏側にある筋(小帯)が前歯の間まで入り込んでいると、歯が中央に寄れず、すき間ができやすくなります。
歯の大きさ・本数の問題
- 歯が小さい
- 歯の本数が足りない
- 逆に過剰歯(余分な歯)が埋まっている
といった場合も正中離開の原因になります。
舌癖・口周りの癖
- 舌で前歯を押す
- 口呼吸
- 指しゃぶり
などの癖が長期間続くと、歯が押し広げられてしまいます。
噛み合わせ・骨格の問題
上下の顎のバランスや歯列全体の不正咬合が影響していることもあります。
正中離開を放置した時のリスク
「見た目だけの問題だから…」と放置される方もいますが、以下のようなリスクがあります。
- 発音(サ行・タ行など)が不明瞭になる
- 食べ物が挟まりやすい
- 前歯に負担が集中し、歯周病や破折のリスクが上がる
見た目+機能面の両方でデメリットが出る可能性があります。
正中離開の主な治療方法
矯正治療
メリット
- 根本的な改善を見込むことができます
- 後戻りが少なく将来にわたり安定した歯列を保つことができます
デメリット
- 治療期間が比較的長くかかります
ダイレクトボンディング
歯科用樹脂を歯に直接盛り足して、すき間を埋める方法です。
メリット
- 短期間(1日)で治療を終えることが可能です
- 歯を削る量が少なく侵襲の少ない治療方法です
デメリット
- すき間が大きい場合は不向きとなります
- 経年的な変色・摩耗の可能性・脱離のリスクが伴います
- 歯の形そのものを変えることはできないため審美性の改善は限定的です
ラミネートベニア
歯の表面を薄く削り、セラミックを貼り付ける方法です。
メリット
- 見た目が非常にきれいで審美性の改善が図れます
- 色や形も同時に改善できます
デメリット
- 歯を削る必要があり、やや侵襲が伴う治療方法です
上唇小帯切除(必要な場合)
小帯が原因の場合、矯正や補綴治療を併用して行うことがあります。
メリット
- 根本的な原因を除去することで、治療後の後戻り(再びすき間が開くこと)を強力に防げます
- 小帯が邪魔をして磨きにくかった部位のブラッシングがしやすくなり、清潔を保てます
デメリット
- 外科的な小手術が必要となります(通常は数分〜十数分程度です)
- 術後にわずかな腫れや痛み、違和感が生じることがあります
治療方法はどうやって選ぶの?

正中離開の治療は、
- すき間の大きさ
- 原因(骨格・癖・小帯など)
- 見た目への希望
- 治療期間・費用
を総合的に判断して決めます。そのため、歯科医師による正確な診査・診断が非常に重要です。
上顎前歯部の正中離開ダイレクトボンディング
上の前歯にできてしまったすき間を埋める治療になります。
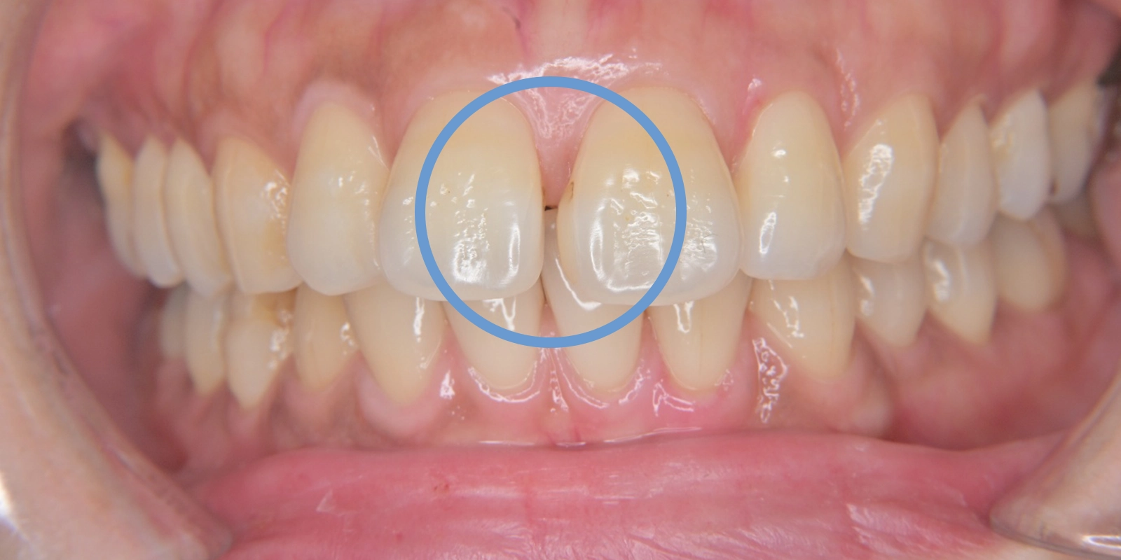
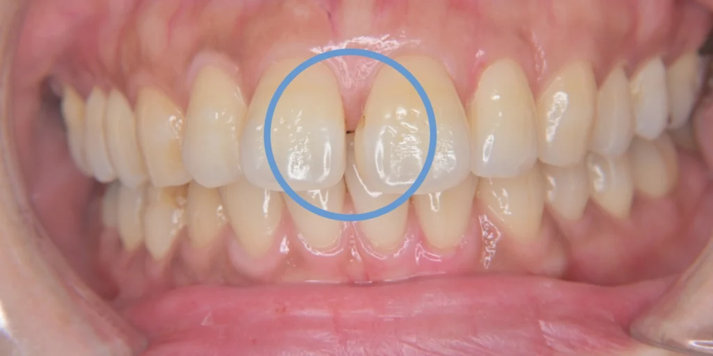
治療前後の症例写真
治療前

こちらが治療前の写真です。目立った虫歯はありませんが上の前歯にすき間があるのがわかります。
カリエスの状況、歯周病の状況、顎・咬合状態、不良習癖など診査し、著しい問題を認めませんでした。今回は患者様と相談の上、治療期間が短く侵襲の少ないダイレクトボンディングによる治療を選択しました。
治療後

こちらが治療後の写真となります。術前に不均一であった歯の幅径を揃えて自然な形で正中離開の部分を埋めていきました。形態、色味ともに満足のいく仕上がりになったかと思います。
ダイレクトボンディングによる治療は歯への侵襲が少なく短期間で終わるために非常に魅力的な治療です。治療を行うために正確な診査・診断が欠かせません。
当院ではメリットだけではなくデメリットも含めて様々な治療法を考慮し、患者様と相談の上最善の治療を選択していきます。お口の中や前歯の見た目でお困りのことがございましたら是非一度当院までご相談ください。
| 治療費 | 正中離開ダイレクトボンディング:77,000円(税込) |
|---|---|
| メリット | 治療期間が1日で終わる・歯の切削量が少ない |
| デメリット | 歯の形を大きく変えることはできない・コンポジットレジンが欠けてしまう可能性がある |
まとめ|上顎前歯の正中離開が
気になったら早めの相談を

- 正中離開は原因によって治療法が異なります
- 大人の場合、自然治癒は期待できません
- 見た目だけでなく機能面の問題も起こりえます
上顎前歯のすき間が気になる方は、当院で一度相談してみることをおすすめします。




