2026.02.25

進行したカリエスと歯周病に対して全顎治療を行った症例

進行したカリエスと歯周病に対して全顎治療を行った症例報告です。

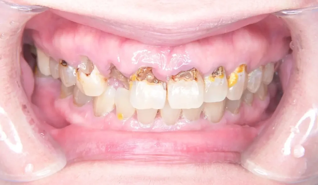
治療前の症例写真

こちらが術前の口腔内写真になります。

正面

正面

上顎

上顎

下顎

下顎

問題点としては前歯部、臼歯部で進行したカリエスおよび前歯部歯肉増殖症、広範型慢性歯周炎StageⅡ GradeAが挙げられます。本症例では前歯部の審美性の回復について患者様との話し合いのうえセラミック修復による治療を選択しました。

治療のステップとして全顎的な歯周環境の改善のための歯周基本治療、前歯部の歯周形成外科、前歯部カリエスに対する根管治療、前歯部プロビジョナルレストレーションによる歯肉形態修正、最終補綴の順で治療を進めていきました。

歯周環境の改善のために親知らずの抜歯を適宜行っています。

根管治療中・根管治療後

治療中の写真がこちらになります。

【根管治療中・根管治療後】
【根管治療中・根管治療後】

【根管治療中・根管治療後】

カリエス除去後に隔壁の作製を行い、ラバーダムシートによる環境整備を行って根管治療を行いました。

当院では根管治療においてイニシャルトリートメントこそ最重要と考えています。ここを間違えなければ5年生存率90%、10年生存率80%という世界的な統計報告を十分達成可能と考えています。

カリエス治療、歯周外科治療を行ったのち今度は補綴治療の準備へと移っていきます。

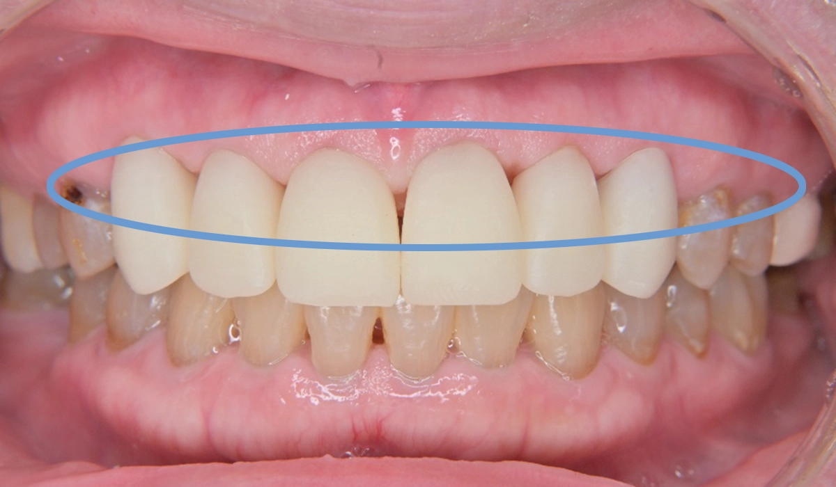
セカンドプロビジョナルレストレーション

【セカンドプロビジョナルレストレーション】

セカンドプロビジョナルレストレーションではより最終形態に近づけた歯冠形態となっています。最終補綴物の形態を術者・技工士・患者様ともにイメージを共有して形態を決定していきました。

セカンドプロビジョナルレストレーションから最終補綴物へ移行するにあたりブラックトライアングルの修正が課題として挙げられます。

ブラックトライアングルとは?

ブラックトライアングルとは歯と歯の間の歯肉(歯間乳頭)が下がってしまうことで黒い三角形のすき間が見えてしまうことを指します。ブラックトライアングルの原因としては歯周病や矯正治療、加齢的な変化、不適切なブラッシングによる影響が挙げられます。

本症例では歯周治療の歯肉変化とプロビジョナルレストレーションによる影響で生じたと考えられます。しかし、適切な診査・診断と最終補綴物の設計によりブラックトライアングルを治療することが可能です。

ブラックトライアングルとは?
ブラックトライアングルとは?

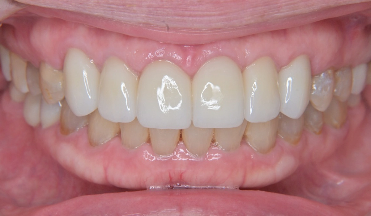
治療後の症例写真

治療後の写真がこちらになります。

正面

正面

プロビジョナルレストレーションで問題点として見られたブラックトライアングルが最終補綴物では修正できていることがわかります。

上顎

上顎

下顎

下顎

右上6と左下6はダイレクトボンディングにより必要最小限の切削介入で治療を行っています。右下6欠損部に対しては様々な治療選択肢のメリット・デメリットを考慮の上ジルコニアブリッジによる欠損修復治療を行いました。

本症例では術前に歯肉の形態や歯冠の最終形態を模型上で診査・診断をした上で治療を開始しました。審美的なゴールを設定しているため回り道をせずに一直線に思い描いていたゴールに到達することができました。

歯周環境については患者様とともに歯周基本治療により改善した状態を維持できており、今後も安定した歯周環境の維持に取り組みたいと考えています。

今後の課題としてはブラキシズムによる補綴物の維持管理が重要と考えています。定期的な咬合診査を欠かさず口腔管理を行っていく予定です。

歯医者さんになかなか行くことができず治療をあきらめていませんか?当院では個々の患者様に適した治療方法を提案しその中で予算・治療期間として実現可能な治療を患者様相談の上選択していきます。

お口の中でお困りごとがございましたら是非一度当院までご相談ください。

治療費 【自費診療】
根管治療44,000~
(歯種により費用が異なります)
補綴治療77,000~
(部位や審美性により費用が異なります)
メリット 審美的な修復治療が可能。個々の歯や審美性に適した材料や治療法を選択できる。
デメリット 費用がかかる。

▼ 合わせて見てほしいページ

虫歯治療>>歯周病治療>>

診療時間

09:30-13:00 ×
14:00-18:00 ××

【 休診日 】 月曜・祝日
※土曜日は17時まで
※最終受付は診療終了30分前になります。

022-395-7093

アクセス

アクセスマップ

宮城県仙台市太白区東中田6丁目5-28
南仙台駅から徒歩10分・名取駅から車で7分

24時間WEB予約
公式LINE

WEB予約にて空きがなかった場合、
お電話にて予約をお取りできる場合がございます